Ортодонтія

Ваша посмішка – це чи не найперше, що помічають люди при зустрічі. І вона має бути такою, як Вам хочеться!

Ортодонтія – вузька галузь стоматології, яка спеціалізується на діагностиці, профілактиці та лікуванні порушень прикусу та аномалій розвитку зубів. Це не лише естетична процедура, але й важливий аспект загального здоров’я. Неправильний прикус може спричинити різноманітні проблеми, наприклад: проблеми зі станом ясен, пародонтом, мовленням, жуванням чи, навіть, проблеми з самооцінкою. 

Сучасне ортодонтичне лікування охоплює не лише естетику, а й функцію: правильний прикус — запорука здоров'я суглобів, зубів і задовільного загального самопочуття.

У ParusDent ми пропонуємо всі сучасні ортодонтичні рішення для дітей, підлітків і дорослих: від класичних брекет-систем до інноваційних елайнерів. Працюємо не тільки з результатом, але й з причиною проблеми, формуючи правильний фундамент для здорової усмішки на все життя.

Ортодонтичне лікування можливе у будь-якому віці. Для мрій про здорову та естетичну усмішку немає обмежень.

Послуги
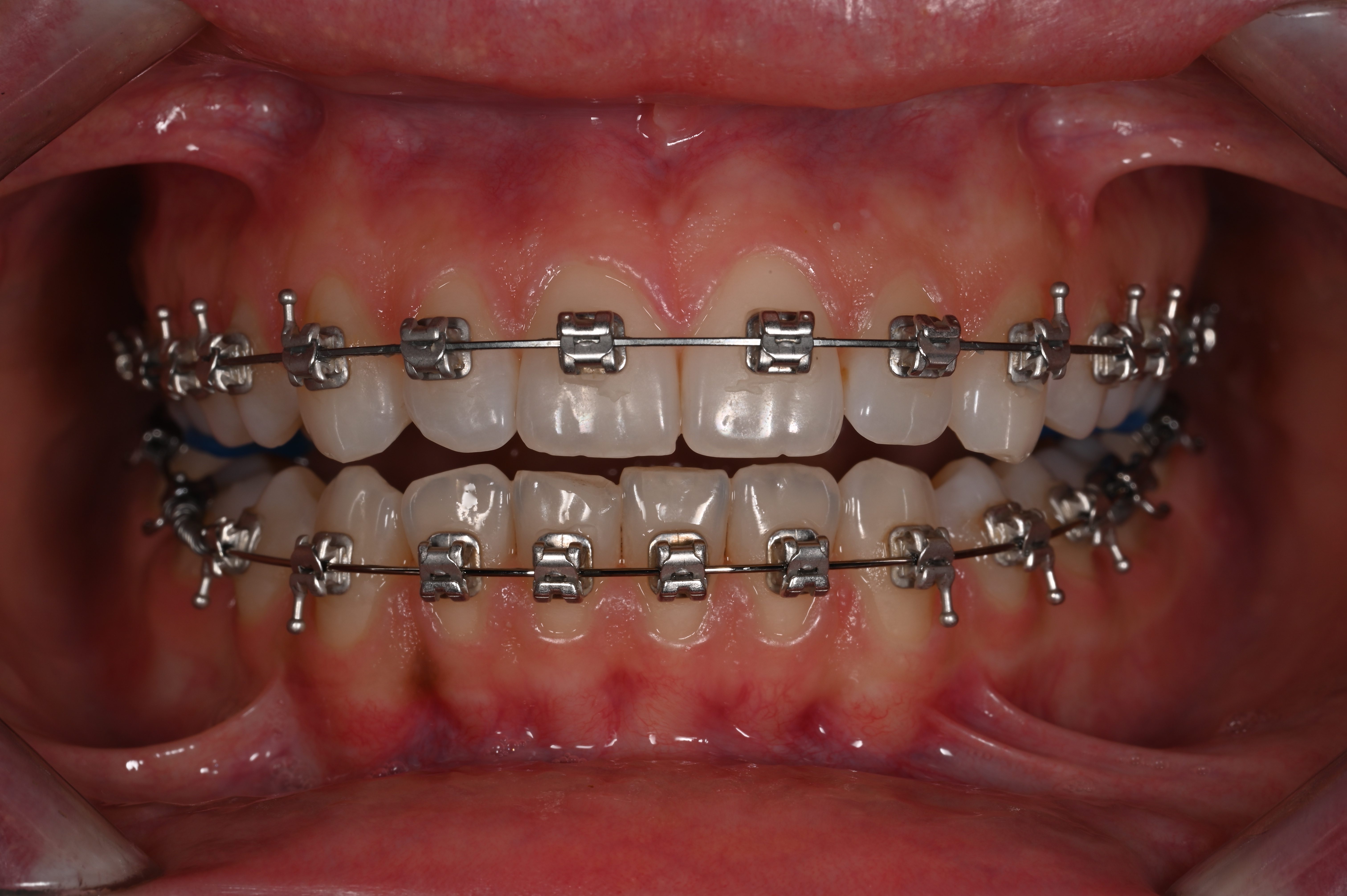
Брекети
Брекети
Елайнери Invisalign
Елайнери Invisalign
Ортодонтичні апарати
Ортодонтичні апарати
Лікування суглобів
Лікування суглобів
Ціна
Можливість оплати частинами
Для власників карток Приватбанку і монобанку
(безвідсоткове відтермінування на 3-6 місяців)
Отримайте подарунковий сертифікат
Ви можете виграти подарункові сертифікати на
суми 500, 1000 та 1500 грн, слідкуйте за новинами
Записатися на прийом /
задати питання
Заповніть форму і наш менеджер зв’яжеться з Вами найближчим часом
Записатися на прийом
Заповніть форму і наш менеджер зв’яжеться з Вами найближчим часом
Лікарі